Advertisement

This is what can happen to your lungs when you have coronavirus

Click to play video: 'This is what can happen to your lungs when you have coronavirus'
This is what can happen to your lungs when you have coronavirus
ABOVE: This is what can happen to your lungs when you have coronavirus – Apr 7, 2020

The coronavirus pandemic continues to spread across Canada, infecting people young and old — and, in severe cases, it can leave a lasting mark on a patient’s lungs.

Most people contracting COVID-19 will have a “very mild infection,” Dr. Isaac Bogoch, infectious disease specialist at Toronto General Hospital, previously told Global News.

“They’ll have a fever and a cough. It’ll be symptoms similar to a cold, which they’ve probably had countless times before, and they’ll get better in a few days.”

READ MORE: Spring cleaning during the coronavirus outbreak? Don't ignore these places in your home

However, in more serious cases, the virus will impact the lungs in a way similar to pneumonia, and it will require medical intervention.

Story continues below advertisement

“When people have shortness of breath or trouble breathing, you can’t wait that out at home. You have to be seen in a hospital setting,” Bogoch said.

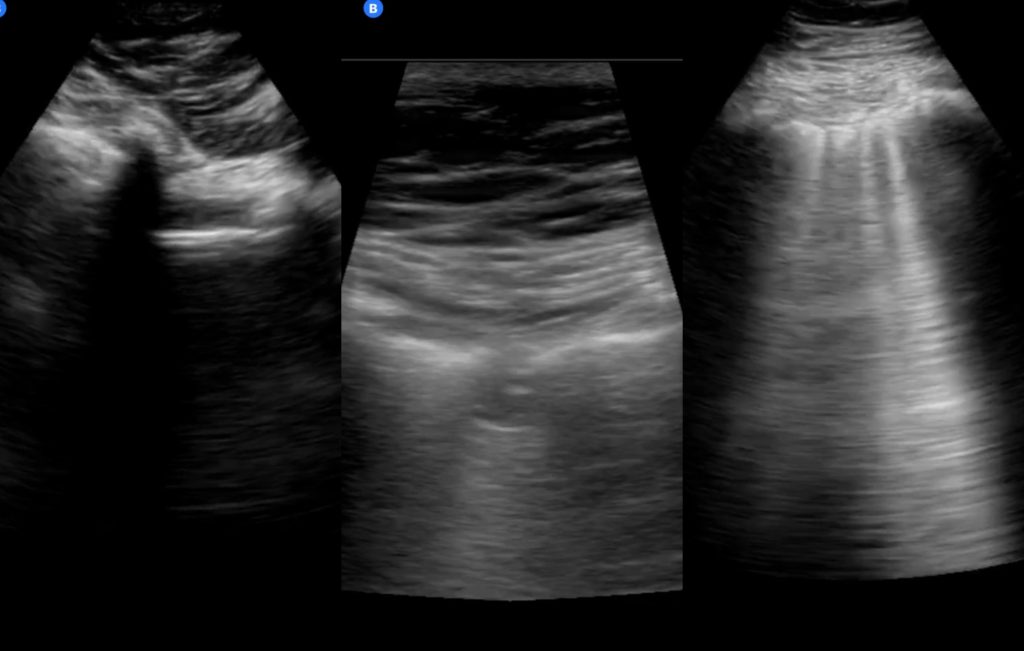
A new study published in the Canadian Medical Association Journal (CMAJ) examined ultrasound images taken from the lungs of a 64-year-old woman diagnosed with COVID-19, revealing how the virus can present itself in the lungs.

Credit: CMAJ. CMAJ

The ultrasound shows “pleural thickening, subpleural consolidation (also known as ‘skip lesion’) and multifocal B-lines,” researchers said.

The pleura are membranes that line the chest cavity and lungs, according to Mesothelioma.net, and they are typically thickened due to scarring, resulting in pleural thickening.

Consolidation occurs when your lungs are filled with something other than air, according to Healthline. It’s common with pneumonia and it often makes it difficult to breathe.

Story continues below advertisement

“These images show changes in the lung that occur due to the SARS-CoV-2 virus (which is responsible for COVID-19) infecting the lungs, and the body’s subsequent immune response to the infection,” said Dr. Anish Mitra, a critical care physician in Surrey, B.C.

Receive the latest medical news and health information delivered to you every Sunday.

Get weekly health news

Receive the latest medical news and health information delivered to you every Sunday.
By providing your email address, you have read and agree to Global News' Terms and Conditions and Privacy Policy.

“These ultrasound images indicate that there is inflammation in the lungs due to the infection.”

According to Mitra, ultrasound images such as these can help to guide treatment in patients with severe cases of COVID-19.

READ MORE: Social distancing doesn't mean you can't hug your kids

“The images can help guide physicians in making treatment decisions,” he said.

However, ultrasound should not be relied on during the diagnosis stage because inflammation — similar to what is shown in these images — can be seen in other viral pneumonias, including influenza.

Story continues below advertisement

“Rather, physicians can use lung ultrasound findings to help them make a diagnosis of COVID-19 or other diseases in the right clinical context,” Mitra said.

Credit: CMAJ. Credit: CMAJ

In cases of COVID-19 that severely impact the lungs, hospitals can provide treatment like supplementary oxygen to help recovery.

“Supplemental oxygen can range from a lot of different things, from the minor to the major. Some people might need nasal prongs, providing a little bit of oxygen through a nose tube,” Bogoch said.

“The most extreme is when people need to be seen in the intensive care unit and require a breathing tube and ventilator machine.”

READ MORE: Canadian lupus patients missing critical drug after claims it treats coronavirus

Story continues below advertisement

It’s older people — especially those with a history of chronic illness — who are the most at risk of contracting the virus in the first place.

recent study by the Chinese Center for Disease Control and Prevention found that the virus has so far most seriously affected older people with pre-existing health problems.

The data suggests a person’s chances of dying from COVID-19 only increase with age, with the risk of dying particularly high among patients in their 70s and 80s.

With files from Rachel D’Amore

Questions about COVID-19? Here are some things you need to know:

Health officials caution against all international travel. Returning travellers are legally obligated to self-isolate for 14 days, beginning March 26, in case they develop symptoms and to prevent spreading the virus to others. Some provinces and territories have also implemented additional recommendations or enforcement measures to ensure those returning to the area self-isolate.

Symptoms can include fever, cough and difficulty breathing — very similar to a cold or flu. Some people can develop a more severe illness. People most at risk of this include older adults and people with severe chronic medical conditions like heart, lung or kidney disease. If you develop symptoms, contact public health authorities.

Story continues below advertisement

To prevent the virus from spreading, experts recommend frequent handwashing and coughing into your sleeve. They also recommend minimizing contact with others, staying home as much as possible and maintaining a distance of two metres from other people if you go out.

For full COVID-19 coverage from Global News, click here.

Meghan.Collie@globalnews.ca

Sponsored content

AdChoices