Advertisement

Man discovers he has 3 kidneys after going to doctor for lower back pain

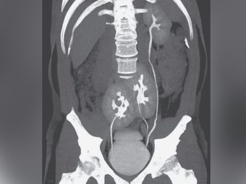
A Brazilian man discovered he has a third kidney after going to the doctor with lower back pain. File/Getty Images

One Brazilian man’s lower back pain turned out to reveal his third kidney.

The 38-year-old took himself to the Hospital do Rim in São Paulo with severe back pain. Doctors performed a CT scan, according to a report published Wednesday in the New England Journal of Medicine.

READ MORE: U.S. researcher ‘on verge of making very significant’ coronavirus findings shot dead

While his lower back pain was confirmed to be caused by a herniated disk, a common condition that occurs in the spinal vertebrae, something else quite shocking was found — a third kidney.

Humans typically have two kidneys, but this man had one normal-looking kidney and two fused together, near his pelvis, the report says.

Story continues below advertisement
A man in Brazil learned he had three kidneys after receiving a CT scan for low-back pain. Above, the CT scan showing the man’s three kidneys: A normal-appearing kidney on the man’s left side, and two kidneys fused at the pelvis. The New England Journal of Medicine

“We had never seen anything like this,” Dr. Renato Foresto, one of the case study authors, told IFLScience. “The surprise was great, followed by concern there was something wrong with the patient’s health.”

Get breaking Canada news delivered to your inbox as it happens so you won't miss a trending story.

Get breaking National news

Get breaking Canada news delivered to your inbox as it happens so you won't miss a trending story.
By providing your email address, you have read and agree to Global News' Terms and Conditions and Privacy Policy.

Blood tests showed that the man’s kidneys were functioning fine and he had no known issues with the organs.

“His renal function … was completely normal. Further investigation with abdominal ultrasound and tomography was considered sufficient since the cause of the pain had already been diagnosed and there were no other changes in laboratory tests,” Foresto added.

READ MORE: Man wipes nose on store clerk’s shirt after being told to wear a mask

The patient was treated for his slipped disk and sent home.

Story continues below advertisement

Having three kidneys is extremely rare, LiveScience says, with fewer than 100 cases reported in literature, according to a report in the Internet Journal of Radiology.

The 2013 report says most people don’t realize they have a third kidney until it’s discovered through an unrelated medical test, like this patient’s.

meaghan.wray@globalnews.ca

Sponsored content

AdChoices