Advertisement

Ontario woman’s life saved by breast implant that deflected bullet

A case study published by Sage Journals on Tuesday says a 30-year-old Ontario woman was saved by her breast implant after suffering a gunshot wound to her chest. Sage Journals
[Warning: Some images may be disturbing. Please read at your own discretion.]

An Ontario woman’s life was saved thanks to her breast implants.

While the events that transpired before she realized she’d been shot aren’t confirmed, one thing is sure: She’d likely be dead if it wasn’t for her silicone implants.

The miraculous details were shared in a case study by Sage Journals on Tuesday. Doctors confirm that the 30-year-old patient likely survived a gunshot wound because of the implant that deflected the bullet away from her heart.

Story continues below advertisement

READ MORE: Thousands of women say they have breast implant illness. What is it?

“The patient reported walking down [the] street and feeling heat and pain in her left chest, looking down and seeing blood,” the case note reads [note: link contains graphic imagery].

When she noticed the blood, she quickly took herself to the emergency room and was transferred to the hospital’s trauma centre.

Get breaking Canada news delivered to your inbox as it happens so you won't miss a trending story.

Get breaking National news

Get breaking Canada news delivered to your inbox as it happens so you won't miss a trending story.
By providing your email address, you have read and agree to Global News' Terms and Conditions and Privacy Policy.

After determining she’d been shot at close-range with a firearm, doctors determined that the bullet likely would’ve otherwise stricken her heart.

The implant, the Sage Journals study says, deflected the bullet away from her heart, effectively saving her life. Sage Journals

The study, led by plastic surgeon Giancarlo McEvenue, says the implant was “likely responsible” for deflecting the trajectory of the bullet and saving the woman’s life.

Story continues below advertisement

The case study, published in Plastic Surgery Case Studies, describes the woman as a “comfortable patient in no distress.”

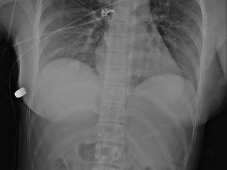
A single entry wound can be seen in graphic photos shared by the journal.

READ MORE: How safe are breast implants? Women warn of risks, share their symptoms

Scans of the woman’s chest show that the bullet entered her left breast first, before being deflected by the implant and entering her right breast, where the implant was found in a “completely flipped position.”

“Based on trajectory of bullet entry clinically and evaluation radiologically, the only source of bullet deflection… is the left breast implant,” the study reads.

“This implant overlies the heart and intrathoracic cavity and therefore likely saved the women’s life,” wrote the doctors.

meaghan.wray@globalnews.ca

Advertisement

Sponsored content

AdChoices