Advertisement

Someone shot this great blue heron so bad, it couldn’t stand up or defend itself

Click to play video: 'Blue heron shot in the Fraser Valley'
Blue heron shot in the Fraser Valley
WATCH: Questions surround why someone would open fire on a blue heron. Jill Bennett reports – Sep 23, 2017

WARNING: DISTURBING PHOTOS. Reader discretion is advised.

A great blue heron was taken into the care of a wildlife rehabilitation organization after it was shot so badly that it wasn’t able to stand on its own, or even defend itself in the wild.

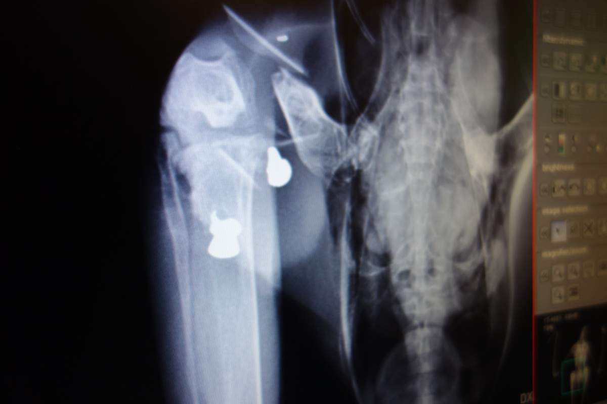
The Wildlife Rescue Association of B.C. said in a Friday news release that the bird, which had come from Langley, was found shot through with three pellets.

Coverage of species at risk: 

Story continues below advertisement

Two of the pellets had broken the heron’s right femur, causing such damage to its right leg that it couldn’t stand.

Get daily Canada news delivered to your inbox so you'll never miss the day's top stories.

Get daily National news

Get daily Canada news delivered to your inbox so you'll never miss the day's top stories.
By providing your email address, you have read and agree to Global News' Terms and Conditions and Privacy Policy.

The bird’s injuries were so severe that veterinary technicians decided to put it down.

READ MORE: 30 blue herons found dead at Alberta oilsands site

The association noted that great blue herons are protected by the B.C. Wildlife Act and the Migratory Birds Convention Act; the trees they nest in also have year-round protection, both on private and public land.

The association “condemned” the shooter’s actions and reported them to the authorities.

Two of five great blue heron subspecies live in British Columbia, according to Nature Canada.

The fannini subspecies of the great blue heron lives only on B.C.’s northern and southern coasts.

That particular subspecies is considered “at risk” under Canadian legislation.

Here are some photos of the great blue heron that the Wildlife Rescue Association of B.C. cared for:

A great blue heron, after it had been shot with three pellets. Wildlife Rescue Association of B.C.
An x-ray of a great blue heron after it had been shot with three pellets. Wildlife Rescue Association of B.C.
An x-ray of a great blue heron after it had been shot with three pellets. Wildlife Rescue Association of B.C.

Sponsored content

AdChoices