Advertisement

Man inhales dentures during surgery, and they get stuck in his throat for 8 days

Click to play video: 'Man inhales dentures during surgery, and they get stuck in his throat for 8 days'
Man inhales dentures during surgery, and they get stuck in his throat for 8 days
A 72-year-old man had his dentures lodged in his throat for eight days after he aspirated them during surgery – Aug 13, 2019

A 72-year-old man had his dentures lodged in his throat for eight days after he aspirated them during surgery.

The U.K. man, an electrician, had had surgery to remove a benign lump from his abdominal wall, according to the case study, which was written in BMJ Case Reports.

Six days later, he went back to the hospital after experiencing pain, difficulty swallowing and coughing up blood. He hadn’t been able to eat any solid food since his surgery, the authors wrote.

Doctors examined him and even gave him a chest X-ray, finding things to be fairly normal. They treated him for a lower respiratory tract infection and pain and sent him home with some medication.

But he came back: his pain was worse, his coughing wouldn’t stop, and he couldn’t even swallow the medication he was given. He was sleeping upright on the sofa, the authors wrote, because he had shortness of breath when he lay down.

Story continues below advertisement

READ MORE: Doctors remove surgical scissors 18 years after being left inside patient’s stomach

At first, the medical team thought he may have pneumonia. But when they tried to examine his throat with an endoscopy, they found a metallic object sitting on top of the man’s vocal cords.

Receive the latest medical news and health information delivered to you every Sunday.

Get weekly health news

Receive the latest medical news and health information delivered to you every Sunday.
By providing your email address, you have read and agree to Global News' Terms and Conditions and Privacy Policy.

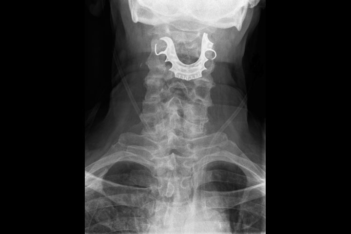
It was the man’s dentures.

When the doctors mentioned the object to the man, he said that his dentures had gone missing after his surgery eight days earlier.

A neck X-ray showing a man’s dentures caught in his throat. BMJ Case Reports

According to the authors, there was no guideline about having to remove dentures before surgery. Leaving them in actually makes for a better seal during induction, and many hospitals leave them in until the patient is intubated.

The authors recommend carefully documenting the presence of dentures and other prosthetics both before and after any surgery to make sure that they are accounted for.

Story continues below advertisement

This is important because dentures can cause serious problems.

READ MORE: Surgeons discover two surgical sponges left in woman’s abdomen for 6 years

In this case, the dentures were removed from the man’s throat, but they had caused some damage in the meantime: he kept coughing blood, so much that he eventually needed a transfusion. Doctors patched up the blood vessel, and eventually, he seemed to improve and had no further emergency room visits after six weeks.

Sponsored content

AdChoices