Advertisement

Boy burns hole in his retina after aiming a laser pointer right at his eye

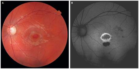
Scans of a boy's eye, showing a macular hole near the centre of Panel A, and two spots of associated eye damage in Panel B. New England Journal of Medicine

A 9-year-old boy from Greece found out exactly what happens when you shine a laser pointer into your eye – and it may have left him with permanent damage to his sight.

According to a case report published in the New England Journal of Medicine, the boy’s parents brought him to an ophthalmology clinic to find out what was going on after he seemed to be losing vision in his left eye.

While his right eye had 20/20 vision, his left eye had decreased to just 20/100, meaning that he had to be 20 feet away to see what a normal person can see at 100 feet.

For reference, vision of 20/200 is considered legally blind in Canada.

READ MORE: Toronto man charged after laser pointer flashed at police helicopter

Story continues below advertisement

Doctors discovered a “macular hole” in the boy’s left eye – meaning there was a break in the central part of his retina, where the eye’s light-sensitive tissue is located. According to the U.S. National Eye Institute, a macular hole can cause blurred and distorted vision, and usually occurs in people over the age of 60.

Receive the latest medical news and health information delivered to you every Sunday.

Get weekly health news

Receive the latest medical news and health information delivered to you every Sunday.
By providing your email address, you have read and agree to Global News' Terms and Conditions and Privacy Policy.

In the boy’s case, it was a laser pointer that caused the damage. “The child reported playing with a green laser pointer and repeatedly gazing into the laser beam,” reads the case report.

WATCH: A Global News helicopter was targeted with a laser pointer during a newscast in November 2015

Although many national health agencies, including Canada, restrict the sale of powerful laser pointers, these devices are still accessible online, write the authors.

Macular holes are often treated surgically, with surgeons essentially blowing an air bubble in the patient’s eye that acts as a temporary bandage, holding the edges of the hole in place so it can heal, according to the NEI. The patient has to remain face-down for days, sometimes weeks, following the surgery to ensure that the hole is sealed.

Story continues below advertisement

Because of the large diameter of the boy’s macular hole, the ophthalmologists opted not to do surgery and instead just monitor his vision. There hasn’t been any change in 18 months.

READ MORE: Feds exploring ‘all options’ to crack down on people aiming laser pointers at planes

Health Canada advises against letting children play with lasers, or “playing around” with them yourself, as they can cause flash blindness and permanent eye damage.

Sponsored content

AdChoices