Advertisement

Man eats world’s hottest chili pepper, ends up in ER with ‘thunderclap’ headaches

Click to play video: 'Man eats world’s hottest chili pepper, ends up in ER'
Man eats world’s hottest chili pepper, ends up in ER
WATCH: The man was participating in the world’s hottest chili pepper-eating contest – Apr 9, 2018

A man ended up in the emergency room with constricted blood vessels in his brain – all because of a chili pepper, doctors believe.

The 34-year-old man from New York state was participating in a contest to eat the world’s hottest chili pepper, the Carolina Reaper, according to a report published Monday in the journal BMJ Case Reports.

His problems started immediately after he ate a single pepper. He had dry heaves, then sudden head and neck pain.

“Immediately after he took the first Carolina Reaper pepper, he suddenly started having a severe headache, which was the worst headache in his life,” said report co-author Dr. Kulothungan Gunasekaran, a senior staff physician at the Henry Ford Hospital in Detroit.

The man went home, but the headache kept coming back and the pain was “excruciating,” so he went to the emergency room.

Story continues below advertisement

WATCH: Kid freaks out after eating a ghost pepper in viral video

This was a “thunderclap headache,” which Gunasekaran describes as a “very severe form of headache which develops all of a sudden and then it goes to a peak in less than a minute. It’s usually an uncommon condition but is associated with nausea, vomiting, and photophobia.”

Receive the latest medical news and health information delivered to you every Sunday.

Get weekly health news

Receive the latest medical news and health information delivered to you every Sunday.
By providing your email address, you have read and agree to Global News' Terms and Conditions and Privacy Policy.

About 80 per cent of the time, people have more than one episode of thunderclap headache, he said.

The most common cause of thunderclap headaches is bleeding inside the brain, but scans didn’t show that. So, doctors looked for another possible cause: reversible cerebral vasoconstriction syndrome (RCVS).

“It is a cerebrovascular disorder that occurs as a result of sudden constriction of blood vessels to the brain. Generally, it is benign and resolves within days to weeks and they often have a very good prognosis,” said Gunasekaran.

Story continues below advertisement
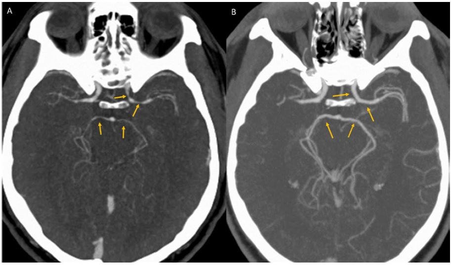
A scan of the man’s brain showing constricted arteries on the left. On the right is the same man’s brain five weeks later, with larger arteries. BMJ Case Reports

A scan of the man’s brain revealed that arteries in his brain were constricted. Doctors ruled out illicit drugs like cocaine and amphetamines as a cause – a common reason for the condition – and ultimately decided that the chili pepper was the culprit.

READ MORE: Ghost pepper challenge goes terribly awry

“We did a literature search which was showing that these peppers, the key ingredient in peppers, capsaicin, it’s a vasoactive substance,” said Gunasekaran. Given that the symptoms developed after the man ate the pepper, they think that it’s “plausible” the pepper was the culprit.

To the best of the study authors’ knowledge, this is the first reported case of RCVS related to chili peppers.

READ MORE: South Carolina man earns record for world’s hottest pepper

Story continues below advertisement

The man’s symptoms resolved by themselves. Five weeks later, his brain had returned to normal and he reported no further headaches.

So how hot is a Carolina Reaper pepper? According to Guinness World Records, the pepper rates at an average of 1,641,183 Scoville Heat Units. For comparison, an ordinary jalapeno pepper rates between 2,500-8,000 Scoville Heat Units, according to a press release from the PuckerButt Pepper Company, makers of the Carolina Reaper.

WATCH: Does South Carolina produce the world’s hottest pepper? Growers in other countries may dispute the claim but, as Kristen Hampton reports, a pepper known as The Carolina Reaper is really, REALLY hot.

Gunasekaran won’t say if these peppers are unsafe to eat. “We are not advising anything against Carolina Reaper at this time but we want people, the general population to be aware of these adverse side effects.”

Story continues below advertisement

The same goes for chili pepper eating competitions.

“Unfortunately we don’t have any comment on the safety of chili-eating competitions. Further investigative study needs to be done concerning the safety.”

However, if you develop thunderclap headaches after eating hot peppers, you should seek medical attention, he said.

Sponsored content

AdChoices