Advertisement

Saskatchewan COVID-19 survivor shares struggles with long COVID symptoms

Click to play video: 'Saskatchewan COVID-19 survivor shares struggles with long COVID symptoms'
Saskatchewan COVID-19 survivor shares struggles with long COVID symptoms
In an effort to show the public what it looks like to suffer from long COVID symptoms, Matthew Cardinal recently shared X-ray images of his lungs on social media – Mar 12, 2022

It has been almost a year since Matthew Cardinal was diagnosed with COVID-19.

At the time, he didn’t know it would change his life for months to come – the scars from his long battle with the virus remain to this day.

“It affects everyone differently, but with mine, it hit my lungs really bad. And it’s scary,” said Cardinal.

Read more: Long COVID app needs more Saskatchewan input

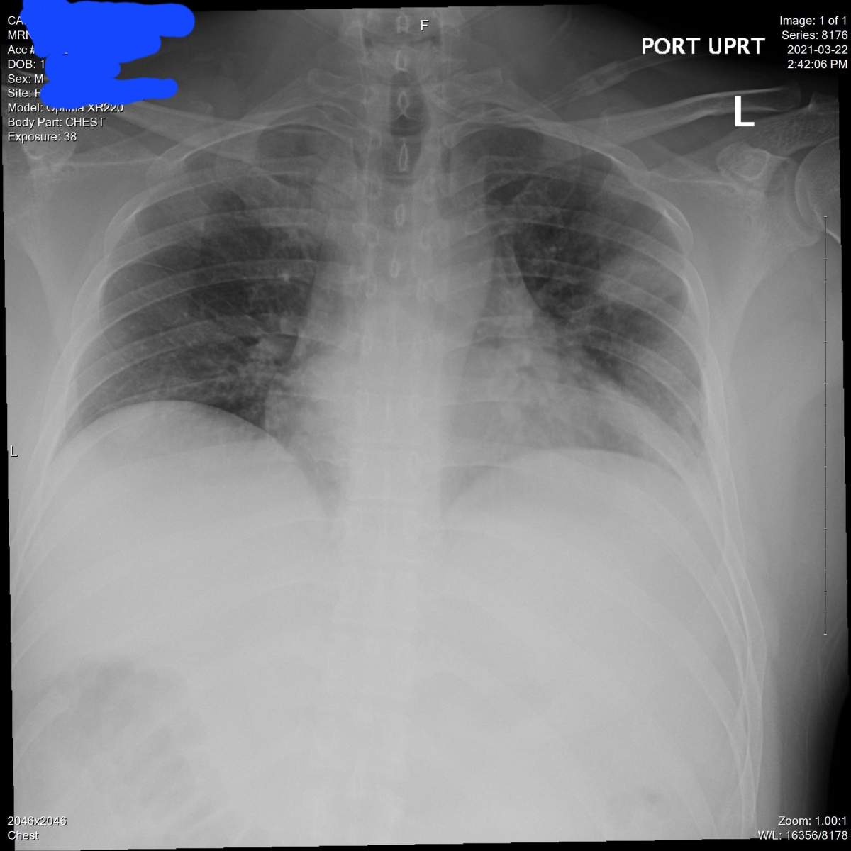
Cardinal tested positive for COVID-19 on March 19, 2021. His health deteriorated rapidly soon after his diagnosis, leading to him calling 911 on March 22 when he experienced shortness of breath, constant hiccups and what felt like phlegm in his lungs.

He was taken to the Regina General where he received treatment, but his condition worsened, resulting in him being moved to the hospital’s intensive care unit on March 25 where he was intubated.

Story continues below advertisement

Cardinal was discharged from the hospital on Apr. 9, 2021. He says he never made a full recovery though, as he is still feeling the effects from his battle with COVID-19 12 months later.

Click to play video: 'Long COVID app needs more Saskatchewan input'
Long COVID app needs more Saskatchewan input

“My lungs are still pretty cloudy and they’re starting to think it’s scar tissue – damage from extreme pneumonia,” Cardinal discussed. “About a year later, I’m still dealing with shortness of breath. I can’t really run. I can walk fast, but I can’t do it (again) for like a whole day because it really takes it out of me.”

Read more: COVID-19 survivors praise VIDO-InterVac research on long COVID

Cardinal is one of many who suffer from what is known as “long COVID” ⁠— long-term issues following original infection, months after their diagnosis.

Story continues below advertisement

In an effort to show the public what it looks like to suffer from long COVID symptoms, Cardinal recently shared X-ray images of his lungs on his social media.

Receive the latest medical news and health information delivered to you every Sunday.

Get weekly health news

Receive the latest medical news and health information delivered to you every Sunday.
By providing your email address, you have read and agree to Global News' Terms and Conditions and Privacy Policy.

“I’m showing what a serious COVID-19 infection looks like. These are my X-rays,” he captioned one of his posts on Twitter.

This X-ray image of Matthew Cardinal’s lungs was captured on March 22, 2021. Courtesy: Matthew Cardinal
This image was taken months after Cardinal was discharged from the hospital following his recovery from COVID-19. This X-ray shows his lungs do not have as much of a cloudy look to them compared to X-rays taken when he was admitted to hospital on March 22, 2021.
This image was taken months after Cardinal was discharged from the hospital following his recovery from COVID-19. This X-ray shows his lungs do not have as much of a cloudy look to them compared to X-rays taken when he was admitted to hospital on March 22, 2021. Courtesy: Matthew Cardinal

Cardinal admitted it was difficult to see how much his lungs have changed since he was infected with COVID-19.

Story continues below advertisement

“I was in shock. I had a good cry,” Cardinal said. “For some people to tell me that I exaggerate everything. No, those are my X-rays. I was close to death.”

Read more: Living with COVID-19 means being vigilant, Saskatchewan researcher says

Despite the traumatic experience, Cardinal has tried to adjust as much as he can so he can live a normal life.

He tries to stay active and has even returned to work, but he said his lungs will never return to what they used to be.

“It’s been hard. Before I used to be able to be more active and spend more time outdoors. But after I finish a shift at work, I’ll have to have a nap for a few hours. It sucks.”

Uncovering long COVID

Research is already underway into the causes of long COVID with studies ongoing across the globe, including in Saskatchewan.

However, health experts are not sure when they will get answers.

Dr. Cory Neudorf, interim senior medical health officer for the Saskatchewan Health Authority, said there is much work to be done to learn the causes behind these long-term problems.

Story continues below advertisement

“It’s quite variable actually and we’re still trying to get a handle on that because the virus is a multi-organ virus,” explained Neudorf.

Read more: Saskatchewan recorded its third-highest monthly COVID-19 death total in February

He added that sometimes people can experience more than one symptom, but the most common prolonged symptoms are associated with shortness of breath, more generalized fatigue or lack of concentration.

Neudorf said people feel other effects including cardiovascular complications, cognitive issues or aches and pains.

In addition, treatments are still being put together. Neudorf suggested there might be various therapies or interventions required, but more research is needed.

“We’re still not sure as to what role any medication treatment will play. That’s still at an early stage of research as well.”

Advertisement

Sponsored content

AdChoices