Two Uteruses
-
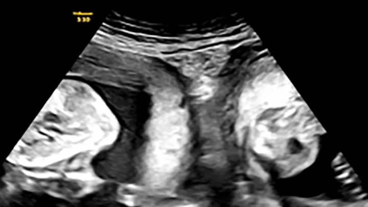
‘One in a million’: Woman pregnant in 2 uteruses gives birth to twinsThe woman with two uteruses gave birth to twins, a boy and a girl.TrendingOct 2, 2024
-
Woman pregnant in both her two uteruses gives birth to twinsKelsey Hatcher's double pregnancy is considered a "one in a million" occurrence.LifestyleDec 27, 2023
-
-
Advertisement
-
Woman with double uterus pregnant with a child in each at the same timeKelsey Hatcher has known since she was a teen that she was born with two uteruses, but never expected to get pregnant in both simultaneously.LifestyleNov 14, 2023
Trending
-
Carnival cruise passenger wins $300K lawsuit after being over-served alcohol3,960 Read -
Prince Harry says Princess Diana’s death made him not want to be a royal3,616 Read -
Judge halts Trump’s ballroom construction, permits bunker work to proceed2,564 Read -
Energy industry losing confidence new pipeline will be deemed a national priority: Survey2,188 Read -
LeBlanc says Canada ‘won’t be the source of any delay’ in renewing CUSMA2,136 Read -
Canada Post lays out 5-year plan to convert to community mailbox delivery2,034 Read -
Top Videos
-
Global News at 6 Toronto: April 15 2026 -
Toronto man found guilty of murdering husband in 2021 -
U.S. consulate in Toronto hit by gunfire, police declare national security incident -
Metrolinx sheds 400-plus consultants, some move to become VPs -
John Tory announces he won’t be running in Toronto’s mayoral race -
Metrolinx CEO on lessons learned and moving the region forward -
470,000 Failing Toronto water meters need to be replaced beginning this spring -
City of Toronto marks 100 days until Fifa World Cup 2026 with celebratory event -
Rare diseases affect 1 in 12 Canadians: Toronto family shares diagnosis experience -
Replacing Toronto’s speed cameras with other measures expected to take over a decade -